Συγκεντρώσαμε παραδείγματα περιστατικών καρκινικών όγκων, καλοηθών όγκων, μεταστάσεων, AVM, κλπ, πριν και μετά την ακτινοχειρουργική θεραπεία με το CyberKnife.
Τα πλάνα ακτινοχειρουργικής θεραπείας έχουν σχεδιαστεί από τον νευροχειρουργό Λέκα Λεωνίδα. Είναι ενδεικτικά ανάμεσα στις 10.000 θεραπείες με CyberKnife που έχει σχεδιάσει για ασθενείς στην Ελλάδα, χρησιμοποιώντας το CyberKnife.
Αρτηριοφλεβώδης Δυσπλασία (AVM) Θεραπεία με CyberKnife #33
Θήλυ 22 ετών με αρτηριοφλεβώδη δυσπλασία εγκεφάλου (AVM) δεξιά βρεγματικά. Σύγκριση MRA 3/2019 με 8/2020….
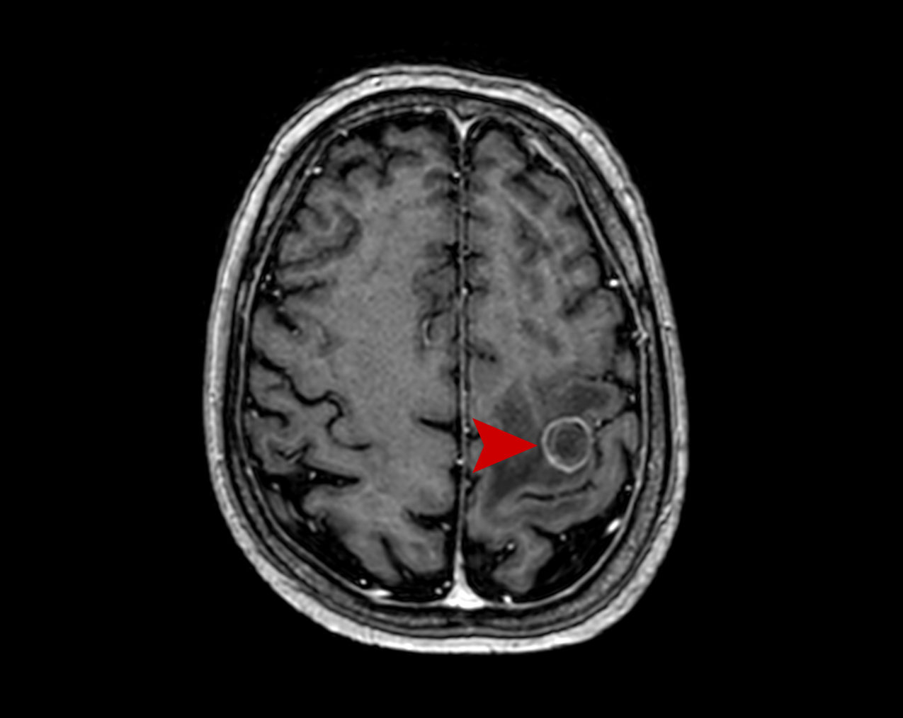
Ακουστικό Νευρίνωμα Θεραπεία με CyberKnife #32
Θήλυ 60 ετών με ακουστικό νευρίνωμα αριστερά. Σύγκριση MRI 2/2020 με 5/2021. Εξουδετέρωση, κεντρική νέκρωση…
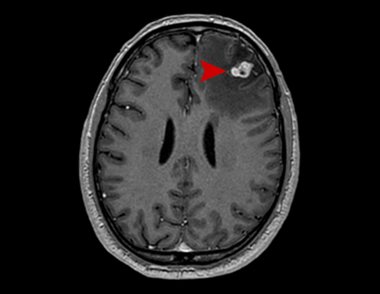
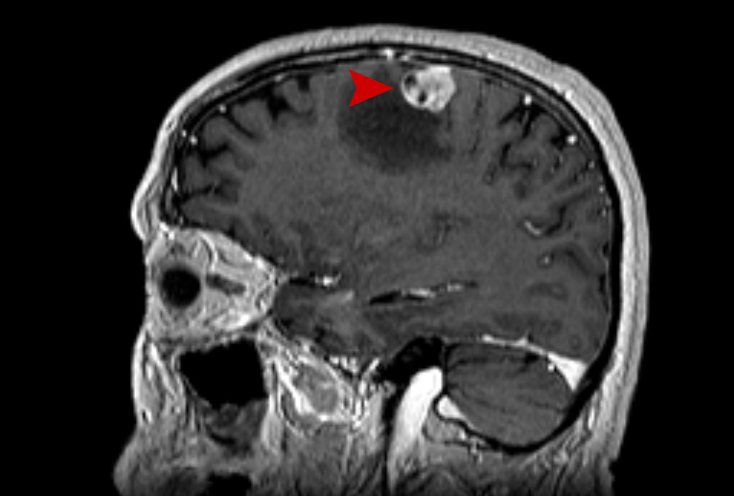
Μετάσταση στον Εγκέφαλο Θεραπεία με CyberKnife #31
Άρρεν 65 ετών με δευτεροπαθή εγκεφαλική εντόπιση αριστερά μετωπιαία από Ca παχέως εντέρου με συνοδό…
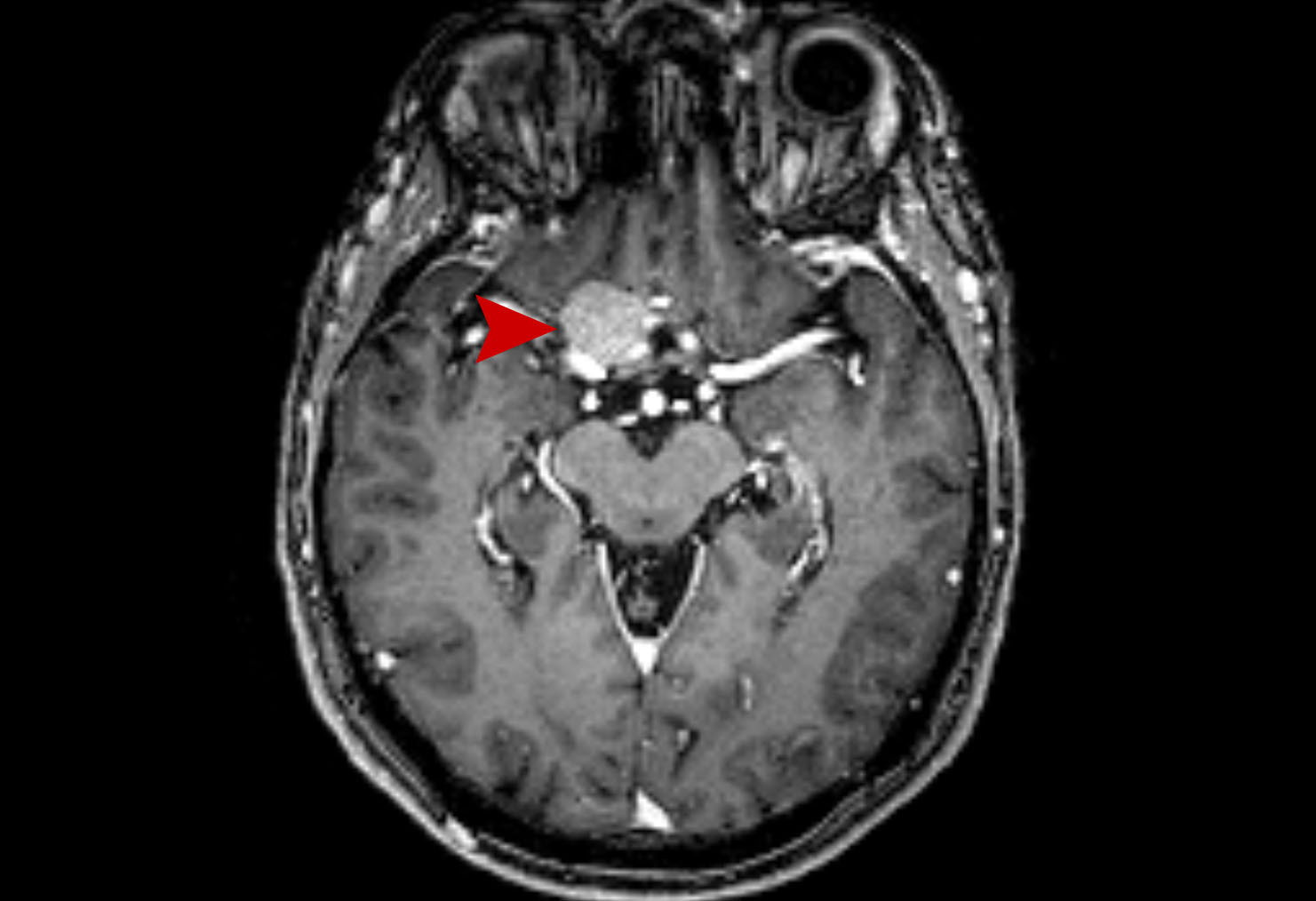
Μηνιγγίωμα Θεραπεία με CyberKnife #30
Θήλυ 70 ετών με μηνιγγίωμα Ινιακού τρήματος αριστερά με συνοδά πιεστικά φαινόμενα στον προμήκη. Σύγκριση…
Μηνιγγίωμα Θεραπεία με CyberKnife #29
Άρρεν 33 ετών με μηνιγγίωμα αριστερού πρόσθιου χείλους του σκηνιδίου. Σύγκριση MRI 7/2020 με 1/2021….
Αρτηριοφλεβώδης Δυσπλασία (AVM) Θεραπεία με CyberKnife #28
Θήλυ 38 ετών με αρτηριοφλεβώδη δυσπλασία εγκεφάλου (AVM) στον σκώληκα της παρεγκεφαλίδας. Σύγκριση MRA 7/2020…
Μεταστατικός Καρκίνος Πνεύμονα στον Εγκέφαλο Θεραπεία με CyberKnife #27
Θήλυ 51 ετών με εγκεφαλική μετάσταση αριστερά μετωπιαία από Ca πνεύμονα με συνοδό περιεστιακό οίδημα….
Μεταστατικός Καρκίνος Πνεύμονα στον Εγκέφαλο Θεραπεία με CyberKnife #26
Άρρεν 47 ετών με ευμεγέθεις δευτεροπαθείς εγκεφαλικές εντοπίσεις δεξιά μετωπιαία από Ca πνεύμονα. Σύγκριση MRI…
Μεταστατικός Καρκίνος Πνεύμονα στον Εγκέφαλο Θεραπεία με CyberKnife #25
Άρρεν 58 ετών με ευμεγέθη εγκεφαλική μετάσταση από Ca πνεύμονος κατά το αριστερό εγκεφαλικό σκέλος…
Μηνιγγίωμα Θεραπεία με CyberKnife #24
Θήλυ 77 ετών με μηνιγγίωμα του ινιακού τρήματος με σύγχρονα πιεστικά φαινόμενα στο εγκεφαλικό στέλεχος….
Μεταστατικός Καρκίνος Μαστού στον Εγκέφαλο Θεραπεία με CyberKnife #23
Θήλυ 41 ετών με πολλαπλές δευτεροπαθείς εγκεφαλικές εντοπίσεις από Ca μαστού. Σύγκριση MRI 5/2018 με…
Μηνιγγίωμα Θεραπεία με CyberKnife #22
Θήλυ 71 ετών με μηνιγγίωμα δεξιού οπτικού τρήματος και σώματος σφηνοειδούς. Σύγκριση MRI 3/2020 με…
Μηνιγγίωμα Θεραπεία με CyberKnife #21
Άρρεν 46 ετών με μηνιγγίωμα δεξιού σηραγγώδους κόλπου με υπερεφιππιακή επέκταση έως το σύστοιχο οπτικό…
Αρτηριοφλεβώδης Δυσπλασία (AVM) Θεραπεία με CyberKnife #20
Θήλυ 46 ετών με μικρή αρτηριοφλεβώδη δυσπλασία εγκεφάλου (AVM) στην αριστερή κινητική περιοχή. Σύγκριση MRA…
Ακουστικό Νευρίνωμα Θεραπεία με CyberKnife #19
Άρρεν 66 ετών με ευμέγεθες ακουστικό νευρίνωμα αριστερά με συνοδά πιεστικά φαινόμενα επί του εγκεφαλικού…
Αρτηριοφλεβώδης Δυσπλασία (AVM) Θεραπεία με CyberKnife #18
Άρρεν 51 ετών με ευμεγέθη αρτηριοφλεβώδη δυσπλασία εγκεφάλου (AVM) αριστερά βρεγματοινιακά. Σύγκριση MRA 10/2020 με…
Μηνιγγίωμα Θεραπεία με CyberKnife #17
Άρρεν 20 ετών με υποτροπή χειρουργηθέντος μηνιγγιώματος δεξιού υποκόγχιου σχίσματος. Σύγκριση MRI 7/2019 με 3/2021….
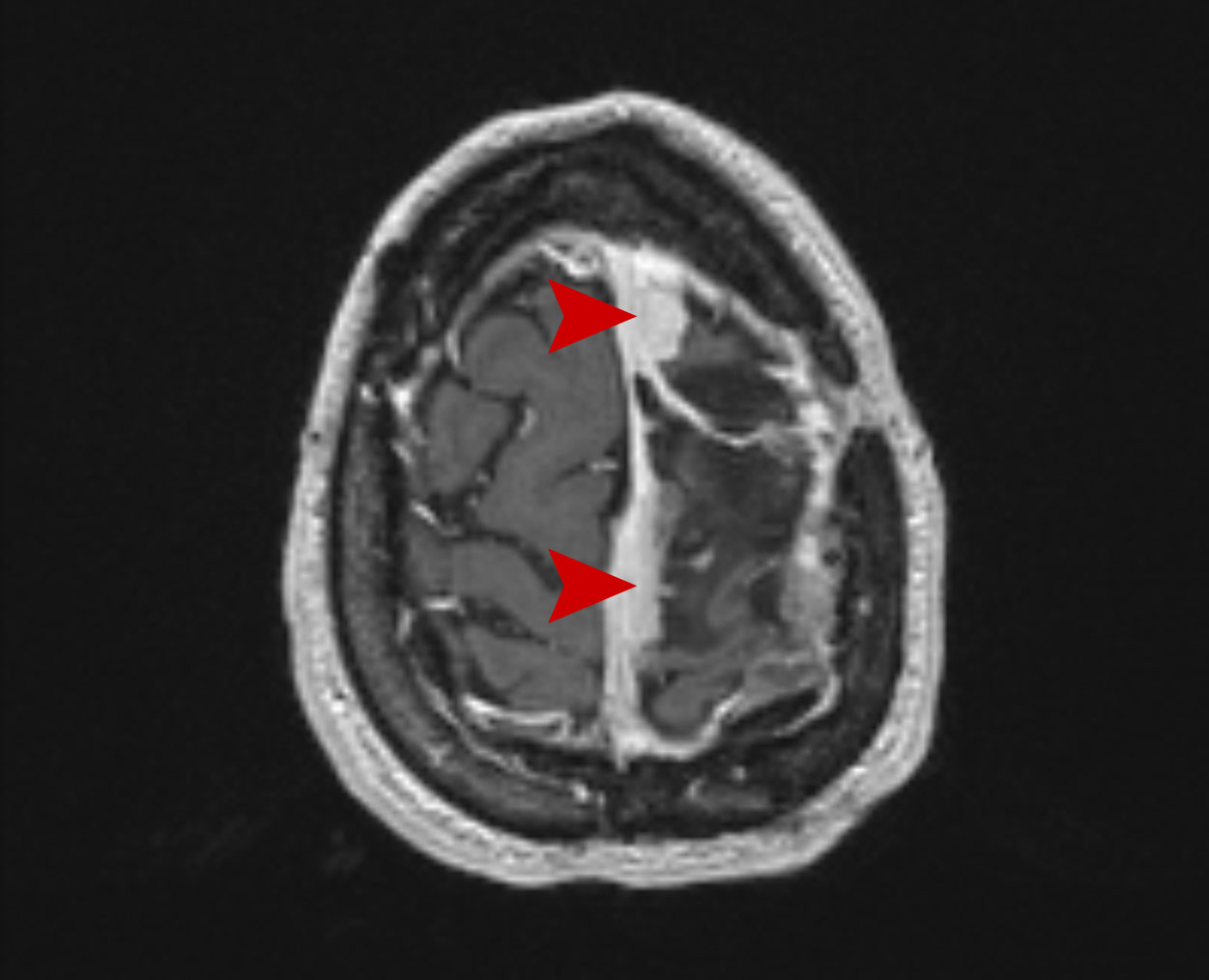
Επενδύμωμα Θεραπεία με CyberKnife #16
Άρρεν 14 ετών με υποτροπή δις χειρουργηθέντος και ακτινοβοληθέντος με κλασσική ΑΚΘ Grade II επενδυμώματος…
Μετάσταση Καρκίνος Πνεύμονα Θεραπεία με CyberKnife #15
Άρρεν 54 ετών με εγκεφαλική μετάσταση από Ca πνεύμονα αριστερά μετωπιαία. Σύγκριση MRI 5/2021 με…
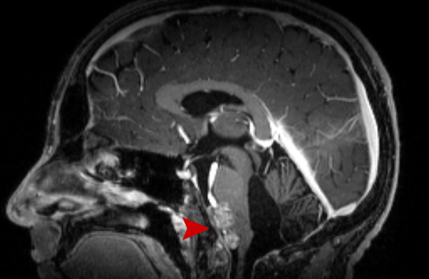
Pituitary Αδένωμα Θεραπεία με CyberKnife #14
Άρρεν 28 ετών με υπολειμματικό, χειρουργηθέν, μη εκκριτικό αδένωμα υπόφυσης. Σύγκριση MRI 10/2015 με 2/2021….
Μηνιγγίωμα Grade II Θεραπεία με CyberKnife #13
Θήλυ 54 ετών με ευμεγέθη υποτροπή χειρουργηθέντος Grade II μηνιγγιώματος δεξιά κροταφικά. Σύγκριση MRI 2/2019…
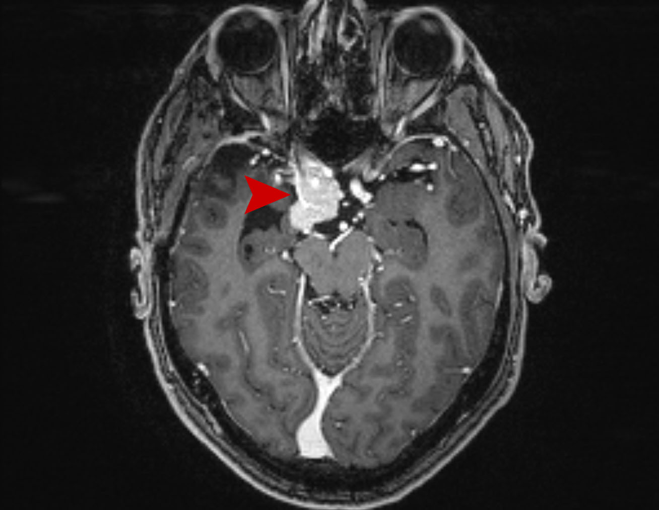
Ακουστικό Νευρίνωμα Θεραπεία με CyberKnife #12
Άρρεν 72 ετών με ακουστικό νευρίνωμα δεξιά. Σύγκριση MRI 4/2019 με 7/2020. Εξουδετέρωση και σμίκρυνση…
Αρτηριοφλεβώδης Δυσπλασία (AVM) Θεραπεία με CyberKnife #11
Θήλυ 38 ετών με μικρή αρτηριοφλεβώδη δυσπλασία εγκεφάλου (AVM) αριστερά βρεγματικά. Σύγκριση MRA 6/2018 με…
Αρτηριοφλεβώδης Δυσπλασία (AVM) Θεραπεία με CyberKnife #10
Θήλυ 45 ετών με μη αιμορραγείσα αρτηριοφλεβώδη δυσπλασία εγκεφάλου (AVM) δεξιά βρεγματικά. Σύγκριση MRI 10/2018…
Αρτηριοφλεβώδης Δυσπλασία (AVM) Θεραπεία με CyberKnife #09
Άρρεν 28 ετών με αιμορραγείσα αρτηριοφλεβώδη δυσπλασία εγκεφάλου (AVM) δεξιά παρακοιλιακά. Σύγκριση MRA 3/2015 με…
Μεταστατικός Καρκίνος Πνεύμονα Θεραπεία με CyberKnife #08
Άρρεν 61 ετών με μονήρη εγκεφαλική μετάσταση από Ca πνεύμονα στην αριστερή προκινητική περιοχή, με…
Μηνιγγίωμα Θεραπεία με CyberKnife #07
ήλυ 66 ετών με μηνιγγίωμα αριστερής Γεφυροπαρεγκεφαλιδικής Γωνίας και σύγχρονα πιεστικά φαινόμενα στο εγκεφαλικό στέλεχος….
Αρτηριοφλεβώδης Δυσπλασία (AVM) Θεραπεία με CyberKnife #06
Θήλυ 39 ετών με ευμεγέθη αρτηριοφλεβώδη δυσπλασία εγκεφάλου (AVM) δεξιά βρεγματικά. Σύγκριση MRA 2/2019 με…
Αρτηριοφλεβώδης Δυσπλασία (AVM) Θεραπεία με CyberKnife #05
Θήλυ 30 ετών με αιμορραγείσα αρτηριοφλεβώδη δυσπλασία εγκεφάλου (AVM) αριστερά μετωπιαία. Σύγκριση MRA 1/2018 με…
Αρτηριοφλεβώδης Δυσπλασία (AVM) Θεραπεία με CyberKnife #04
Άρρεν 8 ετών με αιμορραγείσα αρτηριοφλεβώδη δυσπλασία εγκεφάλου (AVM) κατά τον σκώληκα της παρεγκεφαλίδας. Σύγκριση…
Μηνιγγίωμα Grade II Θεραπεία με CyberKnife #03
Θήλυ 40 ετών με υποτροπή χειρουργηθέντος Grade II μηνιγγιώματος σε πολλαπλές θέσεις των ορίων της…
Μελάνωμα Μετάσταση στον Εγκέφαλο Θεραπεία με CyberKnife #02
Θήλυ 58 ετών με πολλαπλές δευτεροπαθείς εγκεφαλικές εντοπίσεις από μελάνωμα. Σύγκριση MRI του 10/2016 με…
Μεταστατικός Καρκίνος Πνεύμονα Θεραπεία με CyberKnife #01
Θήλυ 64 ετών με μονήρη χιλιοστομετρική δευτεροπαθή εγκεφαλική εντόπιση από Ca πνεύμονα. Εξαφάνιση της εστίας…