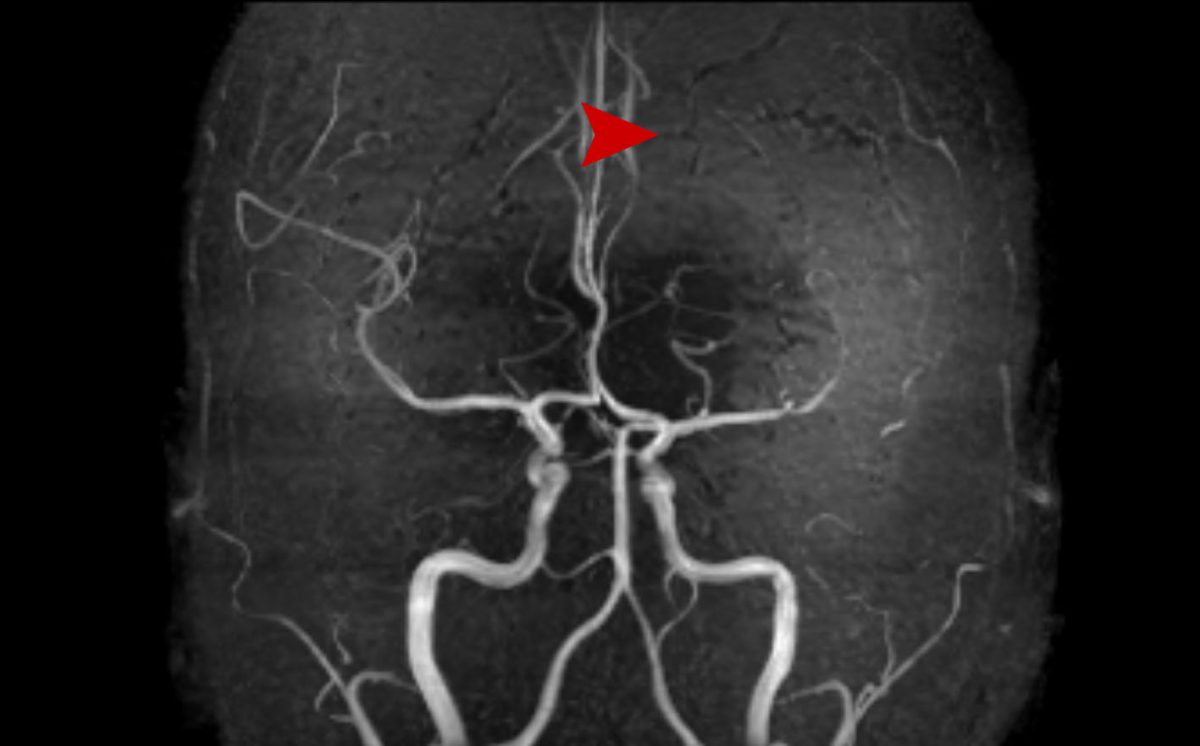
Θήλυ 30 ετών με αιμορραγείσα αρτηριοφλεβώδη δυσπλασία εγκεφάλου (AVM) αριστερά μετωπιαία. Σύγκριση MRA 1/2018 με 12/2019. Πλήρης εξάλειψη της δυσπλασίας.
Πριν την ακτινοχειρουργική θεραπεία με CyberKnife

Μετά την ακτινοχειρουργική θεραπεία με CyberKnife
