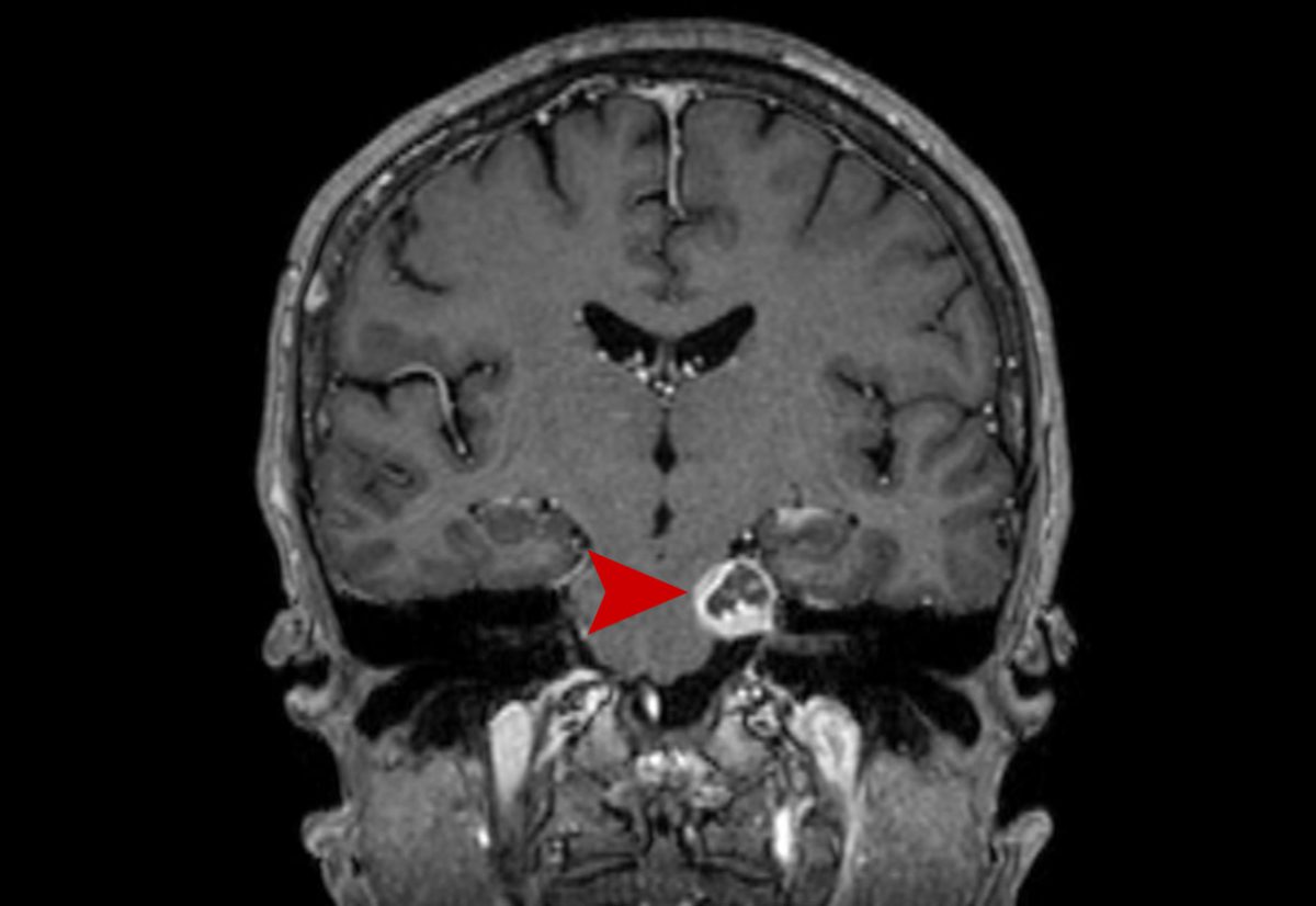
ήλυ 66 ετών με μηνιγγίωμα αριστερής Γεφυροπαρεγκεφαλιδικής Γωνίας και σύγχρονα πιεστικά φαινόμενα στο εγκεφαλικό στέλεχος. Σύγκριση MRI 11/2020 με 5/2021. Κεντρικού τύπου νέκρωση και σμίκρυνση της βλάβης.
Πριν την ακτινοχειρουργική θεραπεία με CyberKnife

Μετά την ακτινοχειρουργική θεραπεία με CyberKnife
