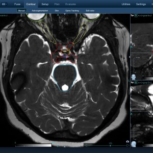
Στις παρακάτω φωτογραφίες θα δείτε παραδείγματα πλάνων θεραπείας καρκινικών όγκων με CyberKnife. Παρατηρήστε πόσο κοντά στους υγιείς ιστούς βρίσκονται οι καρκινικοί όγκοι που χρειάζεται να ακτινοβοληθούν. Μόνο με το CyberKnife και το προσωπικό πλάνο θεραπείας, μπορούν να ακτινοβοληθούν οι όγκοι χωρίς να πληγούν οι παρακείμενοι υγιείς ιστοί.
Μόνο με το CyberKnife και την κατάλληλη σχεδίαση της θεραπείας από έμπειρο νευροχειρουργό, μπορεί να ακτινοβοληθούν οι όγκοι χωρίς να επηρεαστούν από την ακτινοβολία οι υγιείς ιστοί. Αυτό εξασφαλίζει τη μέγιστη δυνατή απόδοση της ακτινοχειρουργικής θεραπείας των όγκων.
10.000+ θεραπείες με CyberKnife στην Ελλάδα
Ο νευροχειρουργός Λέκας Λεωνίδας έχει τη μεγαλύτερη εμπειρία στην Ελλάδα στο σχεδιασμό θεραπειών στερεοτακτικής ακτινοχειρουργικής όγκων του εγκεφάλου και του νευρικού συστήματος σε CyberKnife. Ο σχεδιασμός του πλάνου θεραπείας προϋποθέτει άριστη γνώση της ανατομίας και της απεικόνισης του κεντρικού νευρικού συστήματος έτσι ώστε να επιτευχθεί το βέλτιστο θεραπευτικό αποτέλεσμα με τη μέγιστη δυνατή προστασία των ευαίσθητων δομών.
Μπορεί να σχεδιάσει και τη δική σας προσωπική επιτυχημένη θεραπεία. Ελάτε σε επαφή.
Με κόκκινο χρώμα περιγράφεται η περιοχή του όγκου.
Με μπλε, κίτρινο και πράσινο χρώμα περιγράφονται οι υγιείς ιστοί που δεν πρέπει να ακτινοβοληθούν.
Παρατηρήστε πόσο κοντά βρίσκεται ο όγκος με τους υγιείς ιστούς.
Παρατηρήστε τις πάρα πολλές δέσμες του CynerKnife που ακτινοβολούν τους όγκους από διαφορετικές γωνίες ώστε να μην προσβληθούν από την ακτινοβολία οι υγιείς ιστούς.

























